Uutiset

Hampaiston varhaisoikomishoito
Tiesitkö, että purentavirheen kehittymistä voi ennustaa jo maitohammasvaiheessa?
Onko lapsellasi esim. tilanpuutetta maitohampaistossa, purevatko alahampaat syvälle yläetuhampaiden taakse? Jos näin on, samoja ongelmia on odotettavissa myös pysyvissä hampaissa. Purentavirheet ovat tällöin myös vaikeampiasteisia
Varhaisoikomishoidolla voidaan ohjata purennan kehitystä ja korjata alkavia purentavirheitä. Tavoitteena on ehkäistä pysyvien hampaiden puhkeaminen virheasentoon ja samalla ohjata myös leukojen kasvua.
Hoito aloitetaan ensimmäisten pysyvien hampaiden puhjetessa.
Varhaisoikomishoitoarvioon voi varata aikaa lähellä kouluikää, jolloin pysyvät etuhampaat eivät ole vielä puhjenneet.
Pyydä tarkempia tietoja ja esite henkilökunnaltammeI


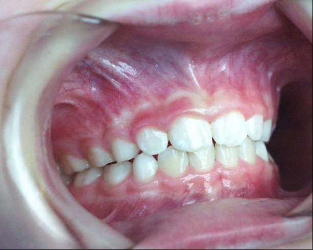
Esimerkkipotilas varhaisoikomishoidosta
Yläkuvassa 5-vuotias tyttö, jolla on
traumaattisesti syvä
purenta etualueella.
Ahtautta tulossa pysyvään
hampaistoon.
Alakuvassa tyttö 8-vuotiaana varhaisoikomishoidon jälkeen

Hampaiden GLOSS- laservalkaisu
Vastaanotollamme on käytössä turvallinen ja tehokas hampaiden GLOSS-laservalkaisu. Valkaisu tehdään yksilöllisesti ja siinä käytetään ainoastaan ammattihenkilön käyttöön tehtyä, valkaisuun kehitettyä ainutlaatuista ja turvallista laservalotinta.
Valkaisu ei muuta hampaan rakennetta.
Tutkitusti tehokkain valkaisu; jopa 10 asteen muutos yhdellä valkaisukerralla.
Hellävarainen, ei aiheuta vihlontaa. Valkaisuaineen sisältämän titaanioksidin vuoksi herkille hampaille vihlontaa aiheuttavaa peroksidipitoisuutta on voitu vähentää.
Työpaikkahammashuolto
Hyvä suun terveys on tärkeä osa ihmisen hyvinvointia. Suunterveys edistää yleisterveyttä sekä työkykyä ja vähentää näin myös poissaoloja.
Työpaikkahammashuolto on työnantajalle verovähennyskelpoinen. Työnantaja voi vähentää verotuksessa järjestämänsä työpaikkahammashuollon tavanomaiset ja kohtuulliset kulut. Työntekijälle työpaikkahammashuolto on veroton henkilöstöetu
Työpaikkahammashuollon palvelujen laajuus ja hoidon järjestelyt sovitaan aina joustavasti ja yrityskohtaisesti.
Työnantaja, ota yhteyttä, niin autamme mielellämme työpaikkahammashuollon järjestämisessä yrityksesi tarpeiden ja toiveiden mukaan.


